3000公里飞的!新疆退休民警到新桥留下这两个字……
2025-04-03 11:16
已接受 次咨询跨越3000公里的谢意,只为一句“值得”!
近日,来自新疆伊犁的卞先生,将一面写有“医术精湛治牙疾 医德高尚暖人心”的锦旗,亲手送到了新桥口腔成都光华院区种植专科副主任医师谢海洋手中,一句“值得”道出了一段双向奔赴的医患情……

半生坚守 一口“难言之隐”
在新疆伊犁从警三十载的卞警官今年一月光荣退休,这位将人生最宝贵的青春岁月毫无保留奉献给公安事业的铁血硬汉,背后却有着一口“难言之隐”。
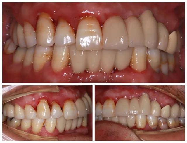
因牙周病的困扰,卞先生仅30多岁牙齿便接连松动脱落。2012年曾在伊犁某口腔机构进行烤瓷固定桥修复,但受限于当地医疗条件,且随着时间推移,上下颌前侧的多处修复体逐渐松动,加上上颌1颗前牙和右侧2颗磨牙的脱落,导致卞先生的咀嚼功能严重受损。
“当时觉得能凑合用就行,没想到时间一长问题越来越严重,连嚼块肉都费劲,吃啥都囫囵吞枣的,还诱发了浅表性胃炎。”卞先生回忆道,常年缺失的牙齿不仅是健康隐患,还让这位需要经常走访辖区群众的民警有了形象焦虑,“每次和群众面对面交流,总觉得缺了份精气神。”
多年来,因工作繁忙卞先生始终未能彻底解决牙齿问题。直到2024年4月,在成都工作的小舅子强烈推荐他到新桥口腔就诊。

千里求医 高效服务展欢颜
“我小舅子在成都工作,他身边有人在新桥种过牙,评价都很好。”卞先生表示,“而且他一直对我说新桥口腔在成都民营口腔机构里面口碑很好。”
怀着期待,卞先生利用休假专程从伊犁来到了新桥口腔成都光华院区。初到院,卞先生就感受到了“家一般的温暖”:“工作人员全程陪同引导,既耐心又细心,在医院里面看到的每一个医护人员笑容都很亲切,医院环境也整洁有序,让我觉得特别舒适,而且我的主治医生谢海洋主任也很专业。”
经CBCT全景检查所见,谢海洋主任发现卞先生存在多颗牙缺失、残存牙体伴有严重骨吸收,且多颗修复体失效等问题,亟待通过种植牙重建咬合功能。针对顾客异地就医、就诊时间有限的情况,谢海洋主任为卞先生制定了“上下颌多颗即拔即种+连冠修复”的个性化种植方案:下颌种植2颗基牙支撑2颗连冠,上颌右侧种植2颗独立基牙,上颌前侧种植3颗基牙连冠修复1颗。

为确保治疗的质量与效率,医院特别开通绿色通道,协调种植体供应商优先供货,各科室无缝衔接诊疗环节。术后卞先生顺利佩戴隐形义齿过渡,考虑到其工作休假的特殊性,医院根据卞先生的安排,贴心将正式牙冠安装时间延至2025年1月。
“原本担心异地就诊麻烦,没想到每个环节都安排得井井有条。从接诊到治疗全程高效专业,这种真正为患者着想的服务太难得了!”卞先生表示,“从1月份佩戴完正式牙冠到现在,我是吃嘛嘛香!”
军民鱼水情 践行拥军政策
新桥口腔成都光华院区负责人在得知卞先生的民警身份及工伤经历后,主动启动拥军优属流程,凭有效证件为其申请专项诊疗补贴。“军人、警察守护国家平安,我们也要全力守护他们的口腔健康。”
据悉,新桥口腔一直以来始终积极响应国家拥军优属政策,针对全国军人军属、退伍军人等群体推出多项优惠措施,并通过种牙口福工程、设立专项补贴、开通绿色通道等举措,确保军人患者享受“优先、优质、优惠”的诊疗体验,为双拥工作的高质量发展奠定坚实基础,为构建“军爱民、民拥军,军民团结一家亲”的良好社会氛围贡献自己的力量。